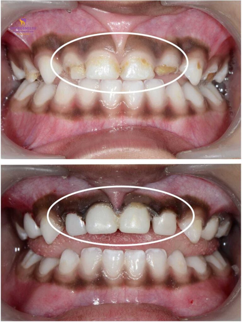
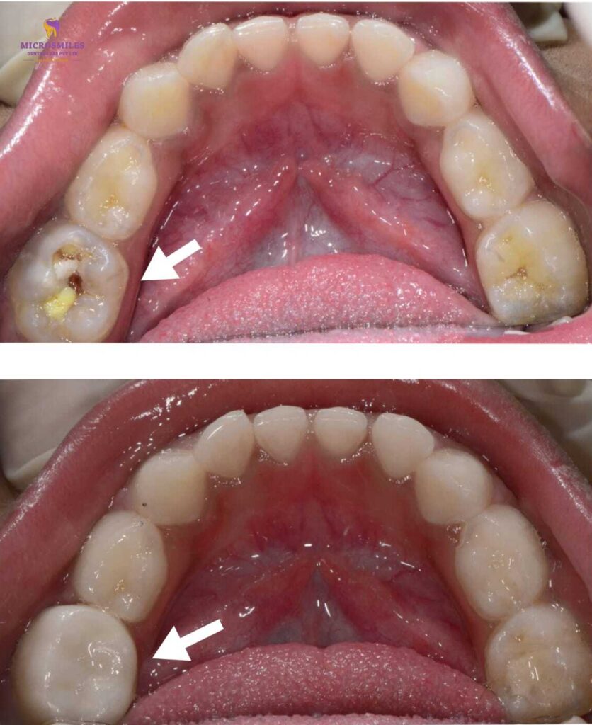
When your child’s tooth needs more than a filling, you want a solution that’s strong, safe, and looks just like a natural tooth. At Microsmiles Dental Care, our Zirconia Crowns / Ceramic Caps are the ideal choice for restoring damaged or decayed baby teeth-without compromising on appearance or comfort.
These aesthetic, child-friendly crowns offer long-term protection with a natural look that keeps your child’s smile bright and confident.
While stainless steel crowns are functional, they often leave a metallic look. Zirconia crowns, on the other hand, offer the strength of metal with the beauty of ceramic, making them the preferred choice for visible front teeth or parents seeking a more natural aesthetic.
Perfect for:
Zirconia crowns are highly durable and resist breakage and staining, meaning fewer return visits and replacements-saving you money on future dental work.
In many cases, ceramic caps can be placed in just one appointment, helping your child get back to school or play quickly-saving you valuable time.
No discomfort, no visible metal, no worries. These crowns are biocompatible and gentle on gums, reducing post-treatment issues-saving emotional energy for both parent and child.
Unlike traditional options, these crowns help children smile, speak, and eat confidently-without anyone noticing they’ve had dental treatment.
At Microsmiles, we specialize in minimally invasive, child-focused care using modern materials like Zirconia. Every crown is placed with precision, comfort, and your child’s long-term oral health in mind.
We take the time to explain the process to both you and your child-ensuring everyone feels safe, informed, and cared for.
Zirconia crowns offer the perfect balance of durability, appearance, and comfort-helping your child enjoy everyday activities without dental discomfort or self-consciousness.
