At Microsmiles Dental Care, we believe that saving your natural tooth should never be stressful, uncertain, or time-consuming. Our Root Canal Therapy, powered by Microscope Assisted Dentistry, delivers results with unmatched precision, comfort, and reliability-so you can get back to your life on the same day with confidence and ease.
Whether you’re dealing with persistent pain, deep decay, or infection, our advanced root canal approach ensures a smooth and efficient experience-from diagnosis to recovery.
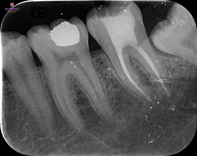
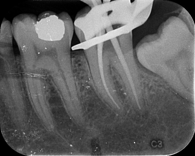
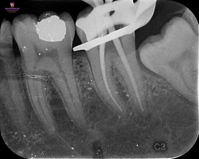
Root canal therapy is a procedure that removes infection from the inside of a tooth and protects it from further damage-without the need for extraction. It helps preserve your natural tooth, avoid future complications, and restore normal function quickly and effectively.
At Microsmiles, every root canal is performed under a high-resolution dental microscope, allowing our specialists to treat even the most complex canals with pinpoint accuracy. This level of detail isn’t just high-tech-it leads to faster treatment, fewer appointments, and long-lasting results.
Our microscope-enhanced approach ensures we do things right the first time-minimizing the need for return visits or repeat procedures. That means you spend less time in the dental chair, and more time doing what you love.
By detecting and treating even the smallest problems early, we help you avoid bigger issue down the line-reducing the chances of complications or costly future treatments.
Our patients often remark how smooth and painless the procedure feels. With advanced techniques and calm, caring environment, you’ll leave wondering why you ever feared root canals in the first place.
Our Endodontic treatments are led by Dr. Praveen Rajesh (MDS, M Endo RCS – UK)-a specialist known for his precision-driven techniques and patient-first approach. Supported by our skilled team and cutting-edge technology, we ensure care that’s both world-class and worry-free.
Consider booking a consultation if you notice:
These signs may indicate a deeper infection-and the sooner it’s treated, the easier your recovery.
With the right team, the right tools, and the right care philosophy, Root Canal Therapy doesn’t have to feel like a burden. At Microsmiles, we’ve made it a seamless, precise, and patient-friendly experience.
