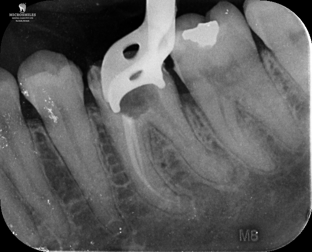
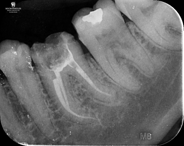
Sometimes, despite the best intentions, a root canal treated elsewhere doesn’t heal as expected. At Microsmiles Dental Care, we specialize in Repeat Root Canal Therapy-a second chance to save your natural tooth using high-precision microscope-assisted techniques that uncover what others may have missed.
We know how frustrating it can be to go through treatment twice, which is why our approach is centered on clarity, comfort, and careful execution-so this time, you can count on lasting relief.
Whatever the reason, repeat root canal therapy can help retain your tooth-avoiding extraction and more extensive procedures.
Our treatments are performed using advanced dental microscopes that magnify up to 25x- allowing us to identify previously hidden canals, fractures, or infected areas that standard tools may miss. This level of detail means faster, more accurate procedures and fewer surprises, giving your tooth the attention it truly deserves.
We streamline the retreatment process by using enhanced imaging, digital diagnostics, and precision tools-reducing unnecessary visits and helping you get back to normal faster.
A successful repeat root canal can prevent the need for implants, bridges, or surgical extractions, which are more invasive and expensive. We focus on protecting what you already have.
With our pain-free techniques, modern sedation options, and caring team, we ensure you’re comfortable every step of the way. You won’t just feel better-you’ll feel confident about your treatment.
Led by Dr. Praveen Rajesh (MDS, M Endo RCS – UK)-an internationally trained endodontic specialist-our team brings both expertise and empathy to complex retreatment cases. You’re in the hands of professionals who care about your outcome as much as you do.
If something doesn’t feel right with your past treatment, don’t wait. The earlier we intervene, the more successful the outcome.
Patients choose Microsmiles for our blend of clinical excellence and patient-first care, especially in challenging cases. We are proud to be a referral destination for microscope-assisted dental treatments, delivering quality care you can depend on.
