When multiple or all teeth are missing, failing, or severely damaged, the impact isn’t just physical-it affects your nutrition, speech, self-esteem, and daily routine. At Microsmiles Dental Care, we offer Full Mouth Rehabilitation with Implants, using the precision of Microscope Assisted Dentistry to give you a natural-looking, stable, and long-lasting smile-without unnecessary complications or repeated dental visits.
This is more than a makeover-it’s a functional transformation designed to help you eat better, speak clearly, and smile freely, while protecting your time, money, and long-term health.
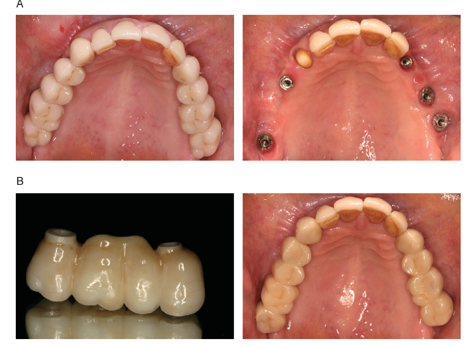
Full mouth rehabilitation involves replacing all of your teeth-in either the upper or lower arch, or both-using strategically placed dental implants that support a fixed set of natural-looking teeth.
This treatment is ideal for:
With our Microscope Assisted Dentistry, every implant and restoration is placed with ultra-fine precision, ensuring:
This reduces the chances of complications and ensures your full arch rehabilitation is done right the first time, saving you repeat visits and extra cost.
Instead of ongoing fillings, crowns, or repairs, full arch implants provide a permanent solution-eliminating the cycle of repeat treatments and helping you save significantly over the years.
Forget adhesives, removals, and adjustments. With implant-supported teeth, you’ll chew, smile, and speak freely-just like with natural teeth. That’s less daily maintenance and more peace of mind.
With advanced planning and guided surgery, we reduce your treatment time and appointments. From consultation to final smile-it’s all structured for your convenience.
Led by Dr. Praveen Rajesh (MDS, M Endo RCS – UK), our team takes a comprehensive, precision-driven approach to full mouth rehabilitation. We use 3D scans, microscopes, and custom prosthetic design to rebuild your smile from the ground up-ensuring function, aesthetics, and long-term comfort.
You may be a candidate if:
Our goal is to make full-mouth care feel simple, smart, and sustainable. From your first consult to your final smile, you’ll experience care that’s efficient, predictable, and built for long-term success.
