Some dental problems go deeper than the surface-literally. When a traditional root canal doesn’t fully resolve an infection or discomfort, Surgical Root Canal Therapy becomes the next step. At Microsmiles Dental Care, we specialize in performing this advanced procedure with microscope-level accuracy, ensuring a smooth experience and long-lasting results.
This minimally invasive microsurgery is your chance to save your natural tooth-without unnecessary complexity, cost, or time.
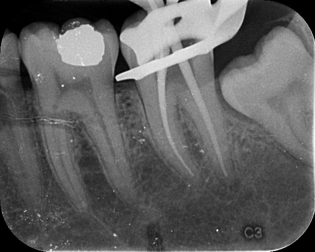
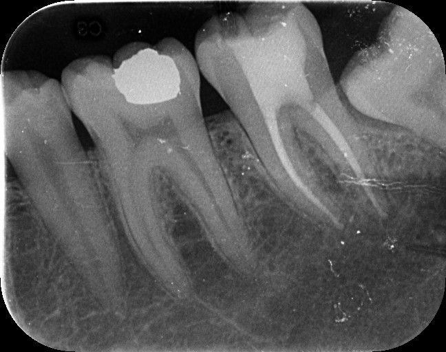
Also known as an apicoectomy, this procedure is performed when infection or inflammation persists at the tip of a tooth’s root, even after root canal treatment. We gently access the root end, remove the infected tissue, and seal the area to prevent future problems-all with the help of magnification and precision tools.
Unlike traditional techniques, our procedure is guided by high-powered dental microscopes, giving our specialists enhanced visibility into the smallest details. This level of precision helps us:
By choosing surgical root canal therapy, you can often prevent the need for extraction, implants, or bridges, which are more invasive and expensive. This option helps you preserve what matters-your natural smile.
Our advanced technology and refined protocols reduce the need for trial-and-error. That means fewer appointments, faster procedures, and less disruption to your routine.
With modern sedation techniques and a calming environment, we make even surgical procedures feel safe and manageable-because we know your energy is better spent living, not worrying.
Led by Dr. Praveen Rajesh (MDS, M Endo RCS – UK), our surgical team brings global training and years of experience to every case. As pioneers in Microscope Assisted Endodontics, we handle complex retreatments and surgical interventions with the care and confidence your tooth deserves.
If any of these sound familiar, this procedure may be the most efficient way to protect your tooth and prevent further complications.
Microsmiles is proud to be a referral center for microscope-assisted treatments in Chennai and Bangalore. Patients across the region choose us for precision-driven, pain-free care that respects their time and prioritizes their long-term wellbeing.
