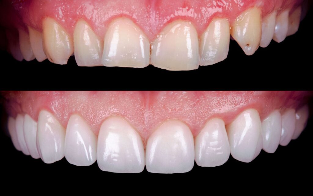
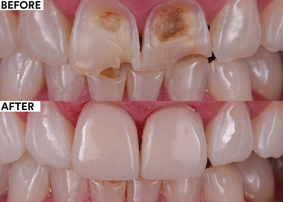
If you’re dealing with cavities or failed old fillings, it’s time to upgrade your dental care with Bioceramic Fillings-an advanced, biocompatible alternative to traditional materials. At Microsmiles Dental Care, we combine cutting-edge biomaterials with Microscope Assisted Dentistry to give you a more precise, longer-lasting, and healthier solution for your tooth restorations.
This isn’t just another filling. It’s a smarter investment in your long-term dental health-done efficiently, gently, and with maximum care.
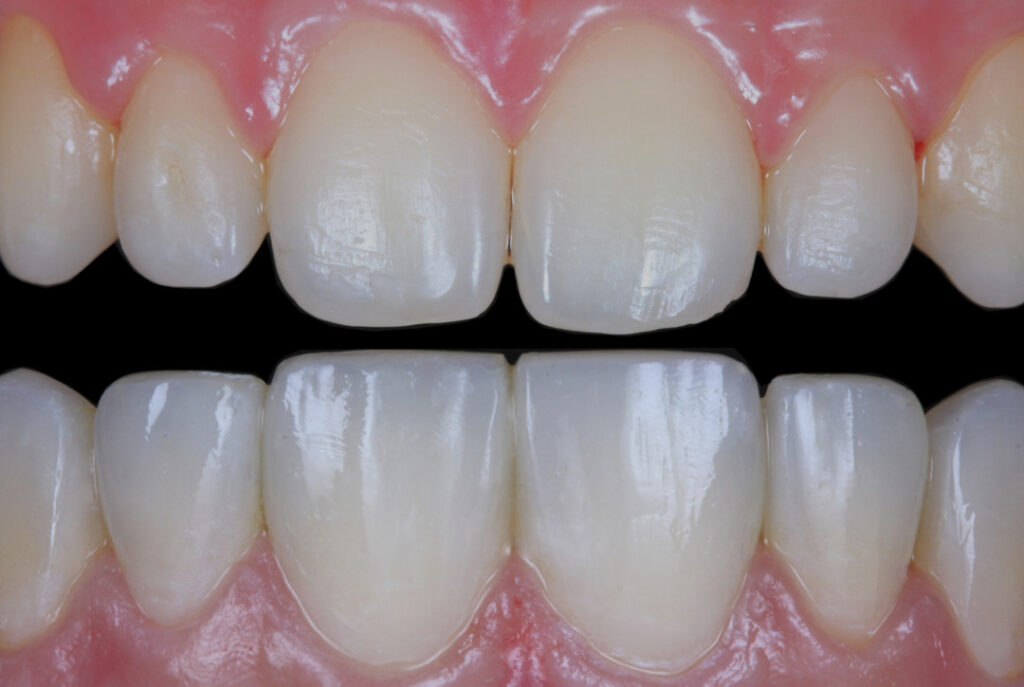
Bioceramic fillings are made from bioactive ceramic-based materials that bond naturally with your tooth structure. Unlike metal or composite fillings, they are tooth-friendly, non-toxic, and promote natural healing by sealing the tooth completely and reducing future risk of reinfection.
Using high-resolution dental microscopes, we ensure that every trace of decay is precisely removed, and the filling is placed with micron-level accuracy. The benefits of microscope-guided placement include:
You get maximum protection with minimal intervention-saving you from redo procedures or emergency visits later.
Bioceramic materials are incredibly durable and stable, meaning they last longer and require fewer replacements or repairs-saving you both money and time.
These fillings don’t just fill-they strengthen and protect your natural tooth, helping you avoid root canals, crowns, or extractions later.
Our precise techniques reduce treatment time and make your visit more comfortable, conservative, and energy-efficient.
Led by Dr. Praveen Rajesh (MDS, M Endo RCS – UK), Microsmiles is one of India’s first centers to integrate Microscope Assisted Dentistry with bioceramic technology for routine fillings. Every case is treated with an eye for detail and a heart for long-term care.
This treatment is ideal for patients who value health, precision, and peace of mind
At Microsmiles, we believe that the best dental care is the kind that feels effortless, lasts longer, and works smarter. Bioceramic fillings are the future-and the future starts with one appointment.
