A healthy smile begins with a clean foundation. At Microsmiles Dental Care, our professional tooth scaling and cleaning services go beyond basic hygiene. Using the precision of Microscope Assisted Dentistry, we ensure a thorough, gentle, and highly effective clean that helps you maintain your oral health and avoid future complications.
This isn’t just about fresher breath or brighter teeth-it’s about preserving your natural smile with minimal effort, maximum impact.
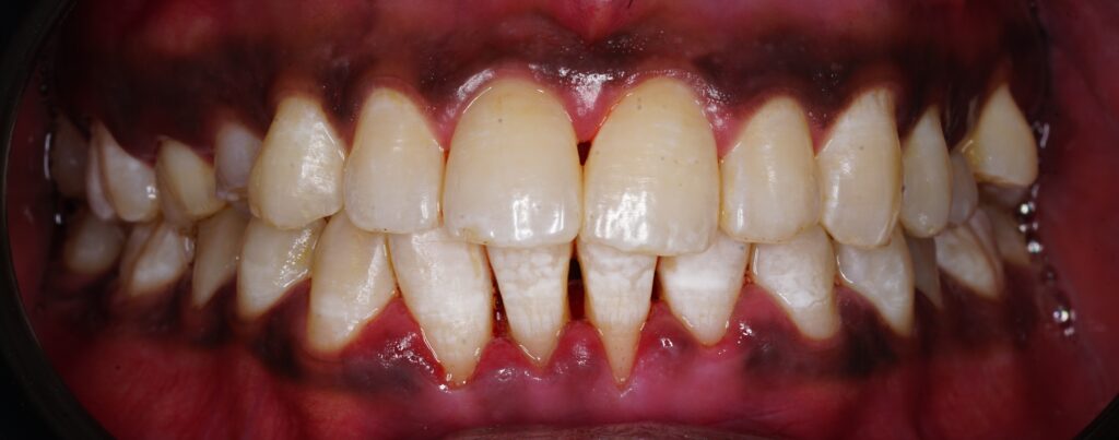
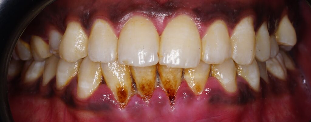
Tooth scaling is a preventive dental procedure that removes plaque, tartar (calculus), and surface stains from above and below the gum line. Regular scaling helps prevent gum disease, cavities, bad breath, and other oral health issues.
But at Microsmiles, it’s not just cleaning-it’s precision-guided care backed by technology.
With the aid of dental microscopes, our hygiene team can identify and target areas most patients and even professionals might miss with the naked eye. This level of detail ensures:
The result? A safer, more efficient cleaning session that sets you up for fewer dental issues in the long run.
Regular scaling prevents the buildup that leads to gum disease, infections, and tooth loss. Catching and addressing these early helps you avoid extensive treatments and their associated costs.
Our refined technique means your sessions are swift, stress-free, and need fewer follow-ups. It’s a simple step that saves you valuable time in the future.
By preventing disease and inflammation, you preserve your natural teeth longer-saving the energy and effort involved in handling dental emergencies later.
Our team, led by specialists like Dr. Praveen Rajesh (MDS, M Endo RCS – UK) and supported by skilled hygienists, provides a patient-first experience rooted in precision care and comfort. Every cleaning is tailored to your needs, preferences, and long-term health.
Consider booking a consultation if you notice:
If any of these apply, a quick, detailed cleaning can make a world of difference.
At Microsmiles, our goal is to help you maintain your smile effortlessly. By investing in simple, preventive steps like professional scaling, you’re avoiding expensive, time-consuming treatments down the road.
