Looking to brighten your smile without damaging your teeth or wasting your weekend on DIY kits that don’t work? At Microsmiles Dental Care, our professional Teeth Whitening (Bleaching) treatments are designed to deliver visible, safe, and long-lasting results-all with the accuracy of Microscope Assisted Dentistry.
Whether you’re preparing for a big day or just want to feel more confident, our tailored whitening solutions help you save time, avoid guesswork, and skip ineffective over-the-counter options.
Every smile is different-and so are the causes of staining. That’s why we don’t believe in one-size-fits-all bleaching. We offer a personalized whitening plan based on:
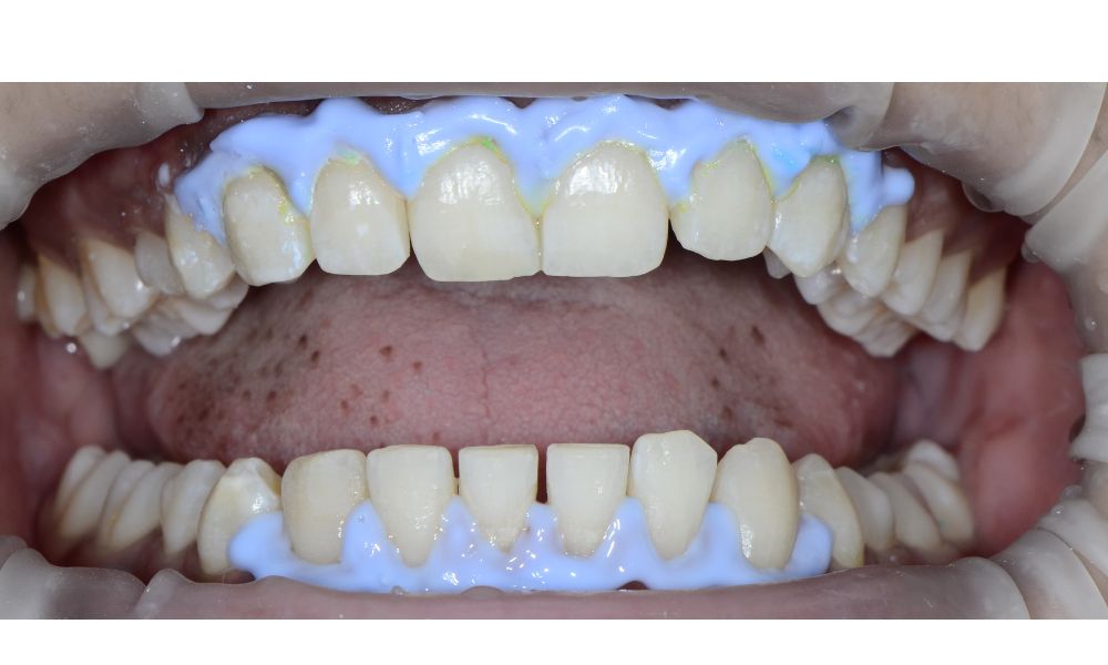
We use only clinically approved, high-grade whitening systems that protect your enamel while giving you that radiant finish.
With Microscope Assisted Dentistry, we can detect micro-defects, cracks, or enamel thinning that may affect the outcome of bleaching. This allows us to:
The result? A more even, more natural-looking brightness with fewer sessions and longer-lasting results.
Unlike store-bought kits that take weeks, our in-office treatment delivers up to 8 shades brighter in just one session-saving you time and repeat effort.
Forget buying strips and gels that barely work. Our tailored approach avoids trial-and-error and ensures you get the outcome you’re paying for.
With our controlled application and expert monitoring, you walk out with a brighter smile-no downtime, no discomfort, no stress.
Our whitening procedures are performed by a team led by Dr. Praveen Rajesh (MDS, M Endo RCS – UK), ensuring you get not just whiter teeth-but a safe, comfortable, and customized experience every time
You’re an ideal candidate if:
We also provide combined whitening + polishing for enhanced outcomes.
At Microsmiles, we believe that your time and smile are valuable. That’s why we offer teeth whitening that’s faster, safer, and smarter-without the trial-and-error or enamel risks of home kits.
