At Microsmiles Dental Care, we believe that the best dental treatment is the one you never need. That’s why we offer Pit and Fissure Sealants-a quick, painless way to protect your child’s molars from decay before it ever begins.
Preventive dentistry is one of the smartest investments you can make in your child’s oral health-and it can save you from costly and stressful treatments later on.
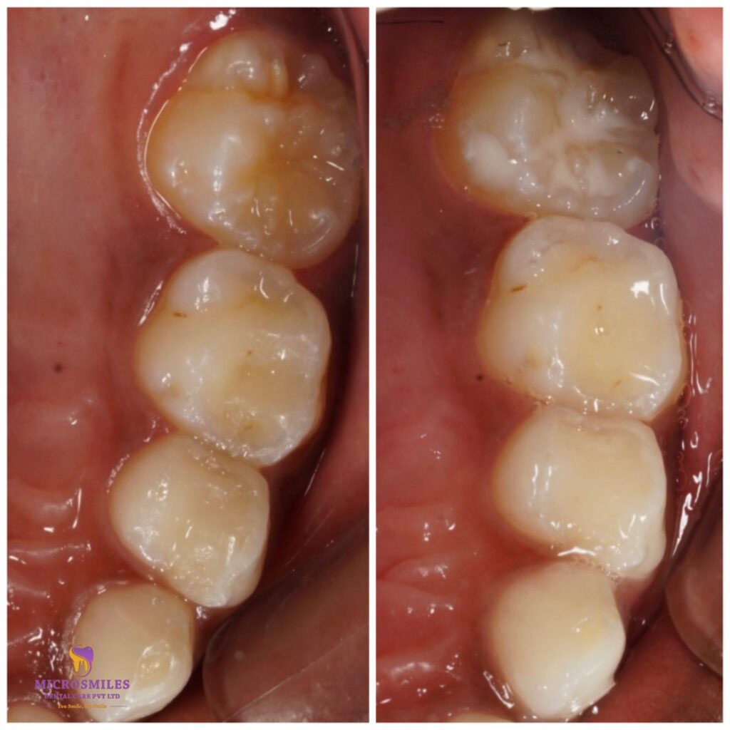
Molars and premolars have tiny grooves (pits and fissures) that easily trap food and plaque. Brushing alone often can’t clean these hard-to-reach areas-especially for young kids still learning proper techniques.
Sealants are thin, protective coatings applied to the chewing surfaces of these teeth. They act like a shield, keeping bacteria out and significantly lowering the risk of cavities.
Sealant application is quick, painless, and non-invasive-usually done in a single short visit with zero recovery time. That’s a huge time-saver for busy parents and kids.
Sealants dramatically reduce the chance of decay in back teeth, helping you avoid future treatments like fillings, pulp therapy, or crowns—saving money in the long run.
Since it doesn’t involve any injections or drilling, sealants are completely child-friendly. Less fear, less fuss-less emotional strain on both parent and child.
We recommend sealants as early as age 6, when the first permanent molars erupt, and again around age 12 for the second molars.
At Microsmiles, we don’t just treat dental problems-we work hard to help your child avoid them altogether. Our pediatric dental team is specially trained to provide gentle, proactive care that keeps your child smiling and confident.
We also help you create a home care plan that supports long-term oral health with ease.
Sealants are a simple, affordable solution that can spare your child from dental discomfort and you from repeat dental visits. It’s the kind of peace of mind every parent deserves.
