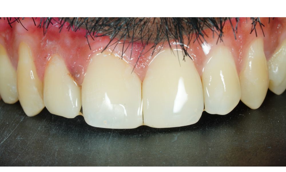
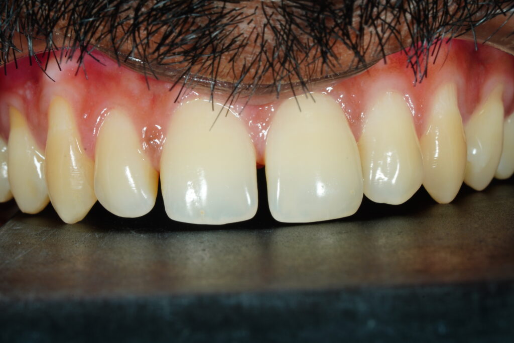
Uneven teeth can impact more than just appearance-they can affect your bite, hygiene, and self-confidence. At Microsmiles Dental Care, our Gaps and Crowding Correction solutions are designed to be efficient, minimally invasive, and tailored to your needs-with the power of Microscope Assisted Dentistry ensuring every adjustment is accurate and effective.
Whether you’re dealing with wide spacing, overlapping teeth, or a crowded smile, we help restore balance and harmony-without wasting your time or overcomplicating treatment.
Gaps (diastemas) and crowding often result from
Left uncorrected, they can lead to tooth wear, gum issues, bite discomfort, and difficulty cleaning properly.
By integrating Microscope Assisted Dentistry into your gap and crowding correction journey, we:
This ensures that every correction is fine-tuned, helping you avoid overtreatment, misalignment relapse, or extra appointments.
With enhanced visualization and advanced diagnostics, we pinpoint the right solution faster, cutting down unnecessary procedures and visits
By using modern cosmetic and restorative methods, many spacing and crowding issues can be corrected without braces or surgery-saving you from extended treatment timelines and discomfort
Well-aligned teeth are easier to clean and less prone to decay, so you’ll spend less on dental issues in the future-saving your energy and budget long term.
Led by Dr. Praveen Rajesh (MDS, M Endo RCS – UK), our team takes a comprehensive yet conservative approach. We believe in correcting what’s needed-and preserving what’s natural. Every treatment is crafted for comfort, function, and aesthetics, with zero guesswork
Depending on the type and severity of the gap or crowding, we may recommend
Each solution is customized to your goals, schedule, and budget
Well-aligned teeth don’t just look better-they function better and stay healthier. With our microscope-enhanced approach, your correction is fast, precise, and focused on lasting benefits.
