Missing a tooth isn’t just about aesthetics-it can impact your chewing, speech, jaw health, and overall confidence. At Microsmiles Dental Care, we provide advanced, long-lasting dental bridge solutions to replace missing teeth without the need for surgery. Using the precision of Microscope Assisted Dentistry, we ensure your bridge fits naturally, functions smoothly, and lasts longer-with minimal hassle or discomfort.
Whether you’ve lost one tooth or several, our patient-centric approach helps you smile, speak, and chew with ease-without spending extra time, effort, or money down the road.
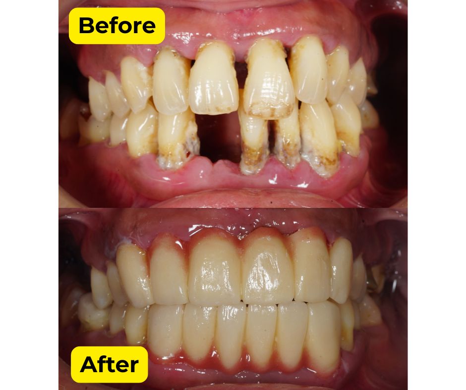
A dental bridge is a non-removable restoration that “bridges” the gap created by one or more missing teeth. It typically involves placing crowns on the healthy teeth adjacent to the gap, which support an artificial tooth (pontic) in between.
Ideal for patients who:
With Microscope Assisted Dentistry, every step of your bridge placement is executed with micro-level precision, resulting in:
This means fewer adjustments, better durability, and less time spent returning for fixes or discomfort.
Bridges are typically completed in just two appointments-giving you a fully functional smile without weeks of waiting or recovery.
Replacing missing teeth prevents nearby teeth from shifting, misaligning, or wearing unevenly, saving you from orthodontic or jaw joint problems in the future.
Our precisely fitted bridges are easy to maintain and feel natural, so you don’t waste time adjusting to them or dealing with removable dentures.
Led by Dr. Praveen Rajesh (MDS, M Endo RCS – UK), our team at Microsmiles blends technical excellence with aesthetic understanding. Each bridge is custom-designed to restore not just function, but balance, beauty, and longevity.
We assess your unique case under high magnification to choose the most conservative, effective plan possible.
At Microsmiles, we understand that tooth loss is more than a cosmetic concern. That’s why our bridge solutions are designed to help you move forward quickly-with fewer visits, fewer complications, and fewer expenses in the long run.
