When your child has a severely decayed or infected baby tooth, removing it isn’t always the best option. At Microsmiles Dental Care, our pediatric specialists offer Pulp Therapy (Kid’s Root Canal)-a safe, effective way to save baby teeth, relieve pain, and maintain proper dental development.
Because even baby teeth play a big role in your child’s speech, chewing, and future smile alignment.
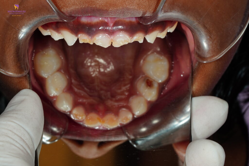
Pulp therapy is often called a “baby tooth root canal.” It involves removing the infected or inflamed part of the nerve (pulp) while preserving the rest of the tooth. It’s typically followed by a protective crown-allowing your child to chew, speak, and smile pain-free.
This treatment is ideal when:
Our pediatric team is trained to complete pulp therapy quickly and comfortably, often in a single visit-reducing school leave for your child and time off work for you.
Preserving baby teeth prevents early gaps that could cause speech issues, misalignment, or costly braces later-saving you money and orthodontic complications.
We use kid-friendly techniques and gentle behavior management to ensure your child feels safe, calm, and cooperative-saving emotional energy for both of you.
After pulp therapy, we usually place a protective cap (like a stainless steel or zirconia crown) to reinforce the tooth and prevent further damage. Your child can return to regular eating and brushing the same day in most cases.
At Microsmiles, we understand that children need more than dental treatment-they need emotional support and age-appropriate care. Our pediatric dentists are experts at making each visit positive, quick, and fear-free.
We guide parents every step of the way so you feel informed, confident, and in control of your child’s dental journey.
Ignoring a decayed baby tooth can lead to abscesses, pain, and the early loss of teeth that affect permanent alignment. Pulp therapy is a simple, proactive solution that keeps your child comfortable and development on track.
